Advanced Brachytherapy Center in Nepal

Delivering precise, personalized cancer treatment through cutting-edge Internal Radiotherapy (Brachytherapy). Our expert team ensures the best outcomes for every patient in Nepal.

Brachytherapy Nepal, Cancer Treatment Nepal, Internal Radiotherapy, Precision Radiotherapy

Our Special Cancer Treatment Services

We offer a wide range of brachytherapy treatments tailored to meet the unique needs of each cancer patient.

Advanced Lip Cancer Brachytherapy Treatment in Nepal

Lip Cancer Brachytherapy

Our clinic specializes in advanced brachytherapy for lip cancer, offering a non-surgical treatment that preserves the cosmetic appearance of the lip. This precise technique targets cancer cells while minimizing damage to surrounding healthy tissue, ensuring optimal outcomes for patients in Nepal. Learn More

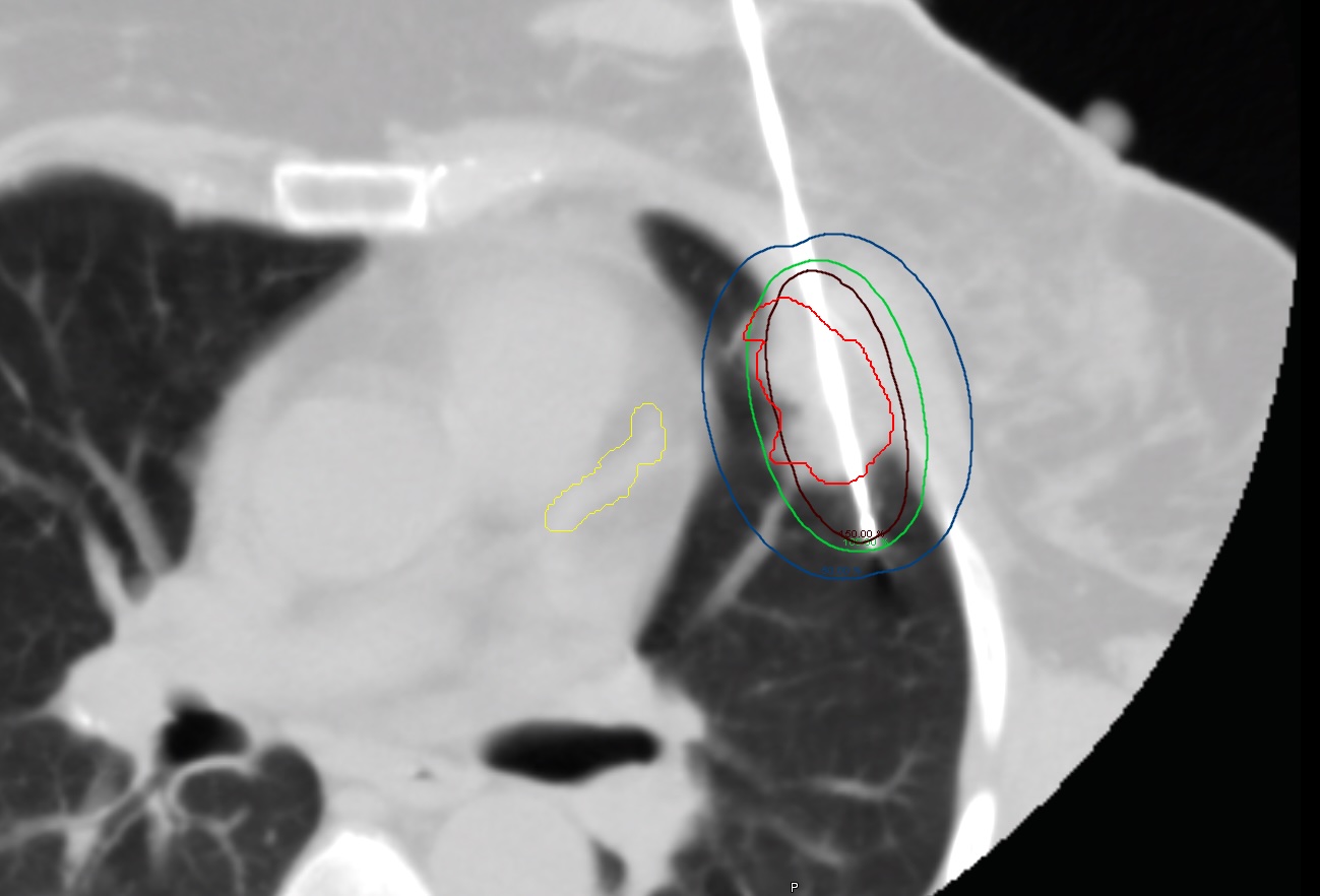
Advanced Liver and Lung Brachytherapy Treatment Setup

Lungs / Liver Cancer Brachytherapy

We provide cutting-edge brachytherapy for both primary and metastatic lung and liver cancers. Our advanced techniques ensure precise radiation delivery, improving treatment outcomes while reducing side effects for patients in Nepal. Learn More

Gynecological Cancer Brachytherapy Equipment and Setup

Gynecological Cancer Brachytherapy

Our image-guided brachytherapy for gynecological cancers, including cervical and endometrial cancers, offers precise treatment with minimal side effects. This advanced approach ensures targeted radiation delivery, improving patient outcomes in Nepal. Learn More

Advanced Esophageal Cancer Brachytherapy Treatment in Nepal

Esophageal Cancer Brachytherapy

We offer specialized brachytherapy for esophageal cancer, effectively relieving swallowing difficulties (dysphagia). This treatment can also be applied to bile duct or bronchial cancers, providing targeted relief for patients. Learn More

Advanced Skin Cancer Brachytherapy Treatment in Nepal

Skin Cancer Brachytherapy

Our clinic provides non-operative brachytherapy solutions for various types of skin cancers, including those on the face and body. This advanced treatment ensures effective cancer control while preserving the skin's appearance. Learn More

Advanced Tongue Cancer Brachytherapy Treatment in Nepal

Tongue Cancer Brachytherapy

For patients who are not fit for or prefer to avoid surgery, we offer curative tongue cancer brachytherapy. This non-surgical treatment provides precise radiation delivery, effectively targeting cancer while preserving tongue function. Learn More

📘 Our Latest International Publications

Kathmandu Brachytherapy Clinic’s pioneering studies are now featured in leading PubMed-indexed journals, showcasing Nepal’s growing leadership in precision, image-guided cancer care.

🎤 Featured at International Webinar

Dr. Subhas Pandit presenting HDR Brachytherapy results at FARO Webinar

Kathmandu Brachytherapy Clinic’s research on CT-guided HDR Brachytherapy presented at the 36th FARO Webinar (October 2025).

* All publications are peer-reviewed and indexed in PubMed.*

Meet Our Team

Meet Our Expert Multi-disciplinary Brachytherapy Team in Nepal

Dr. Simit Sapkota Gynecological Brachytherapy Specialist

Dr. Simit Sapkota

Clinical Oncologist

Dr. Sapkota specializes in advanced gynaecological brachytherapy techniques for recurrent and primary cancers with over 15 years of experience.

Dr. Subhas Pandit Head and Neck Cancer Brachytherapy Expert

Dr. Subhas Pandit

Clinical Oncologist

Dr. Pandit is renowned for his expertise in complex head and neck cancer brachytherapy.

Dr. Sundar Suwal,Interventional Radiologist for Brachytherapy and Brachyablation

Dr. Sundar Suwal

Interventional Radiologist

Dr. Suwal brings extensive experience in minimally invasive radiological procedures for brachytherapy in inner organs like lungs, liver, lymph nodes etc.

Dr. Abish Adhikari,Radiation Oncologist Specializing in Cervix Brachytherapy

Dr. Abish Adhikari

Radiation Oncologist

Dr. Adhikari is especially interested in cervix brachytherapy and palliative brachytherapy for painful metastatic sites in the body.

Dr. Deepak Yadav,Head and Neck Oncosurgeon with Tongue Brachytherapy Expertise

Dr. Deepak Yadav

Head & Neck Oncosurgeon

Dr. Deepak is interested in brachytherapy in tongue and recurrent head and neck cancers.

Dr. Rijendra Yogal,Dr. Rijendra Yogal, Head and Neck Oncosurgeon Specializing in Facial Brachytherapy

Dr. Rijendra Yogal

Head & Neck Oncosurgeon

He has a deep interest in the use of brachytherapy in lips, buccal mucosa, face etc. for preserving the quality of life of patients.

Latest News & Updates

Stay updated with the latest news from Kathmandu Brachytherapy Clinic.

January was Cervical Cancer Awareness Month.

Image guided interstitial brachytherapy: A State-of-the-Art treatment for complex gynae cancers is only available here in Nepal.

Read more

ABG 2024: Global Learning and Sharing

Our doctors participated in International conferences in Australia and Canada, sharing knowledge with Global Brachytherapy experts.

Read more

Educational Activity: Contouring Workshop

Brachytherapy application and Contouring Workshop on Gyaneoncology / Head & Neck cancer conducted in KCC-KBC.

Read more

Brachytherapy Experts Visit Kathmandu

Experts from the USA provide week-long brachytherapy training at Kathmandu Cancer Center on Image-based 3D brachytherapy.

Read more

Participation in Indian Brachytherapy Society Conference

Kathmandu Brachytherapy Clinic had an impactful presence in IBSCON 2023, held in Varanasi.

Read more

Frequently Asked Questions about Brachytherapy in Nepal

Find answers to common questions about brachytherapy and cancer treatment at Kathmandu Brachytherapy Clinic.

What is Brachytherapy?

Brachytherapy, or internal radiotherapy, is an advanced cancer treatment available in Nepal that delivers radiation directly to tumors, minimizing damage to healthy tissues. It is particularly effective for cancers such as lip, tongue, and gynecological cancers.

How Does Brachytherapy Differ from External Radiation?

Unlike external radiation, which directs beams from outside the body, brachytherapy places radiation sources inside the body near the tumor. This allows for higher doses of radiation to be delivered more precisely, reducing side effects and improving outcomes.

What Are the Side Effects of Brachytherapy?

Side effects vary depending on the treatment area but are generally milder than those of external radiation. Common side effects may include temporary discomfort or swelling at the treatment site. Our team provides personalized care to manage any side effects effectively.

Is Brachytherapy Available in Nepal?

Yes, Kathmandu Brachytherapy Clinic is the leading provider of advanced brachytherapy treatments in Nepal, offering state-of-the-art care for various types of cancer.

What types of cancer does the clinic treat with brachytherapy?

Our clinic offers brachytherapy for lip, lung, liver, gynecological, esophageal, skin, and tongue cancers. Please see our services section for more details.

How long does a brachytherapy session last?

The duration of a brachytherapy session varies depending on the type of cancer and the specific treatment plan. Typically, sessions can last from a few minutes to a few hours. Our team will provide you with the exact duration based on your individual case.

Is brachytherapy painful?

Brachytherapy is typically performed under local or general anesthesia, ensuring that the patient does not experience pain during the procedure. Some patients might feel minor discomfort, which is managed by our medical team.

How can I schedule an appointment?

To schedule an appointment, please call us at +977-1-5091629 or email us at [email protected]. Our patient coordinators will assist you in booking a consultation with one of our specialists.

What follow-up care is required after brachytherapy?

After brachytherapy, patients are typically required to attend follow-up appointments to monitor their progress and manage any side effects. The frequency and duration of follow-up care will be determined by your doctor based on your individual case.

Working Together to Beat Cancer

The Brachytherapy program at Kathmandu Cancer Center was started in May 2019 (See news link) in partnership with Radiating Hope (USA). Radiating Hope has provided invaluable support to the program, establishing a robust training network to ensure our doctors not only receive the best equipment but also gain top-tier training and mentorship from experts in the USA.

Brachytherapy Resources

Explore trusted resources designed for patients, caregivers, and medical professionals seeking information about internal radiotherapy (HDR Brachytherapy).

Get in Touch

Need assistance? Our team is here to support you at every step of your cancer care journey.

Find Us

Visit us at Kathmandu Cancer Center, Bhaktapur, Nepal.